Коронавирусная пневмония. Как лечить? Здоровье. Фрагмент выпуска от 10.05.2020
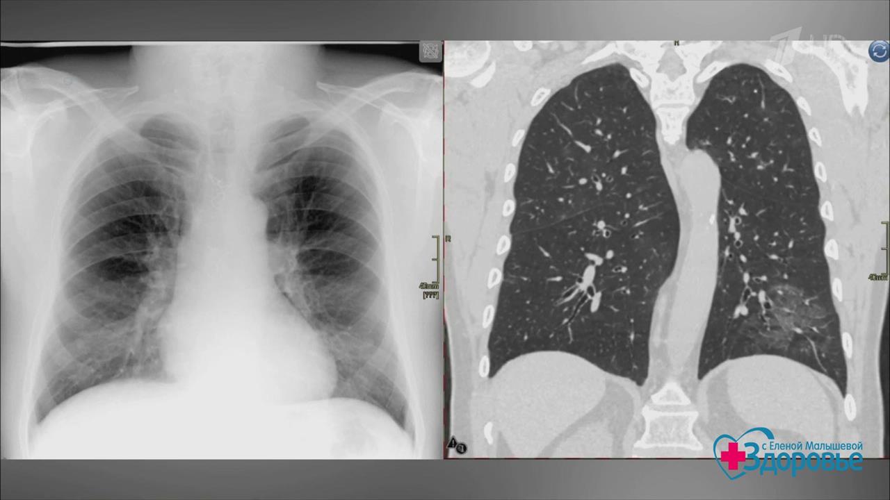
Вирусная пневмония – грозное осложнение коронавируса COVID-19. Как ее лечить? Говорим о самых новых разработках с экспертом программы. В студии – главный рентгенолог Москвы Сергей Морозов.
Вирусная пневмония – грозное осложнение коронавируса COVID-19. Как ее лечить? Говорим о самых новых разработках с экспертом программы. В студии – главный рентгенолог Москвы Сергей Морозов.
