Вирусы-убийцы раковой опухоли. Здоровье. Фрагмент выпуска от 14.06.2020
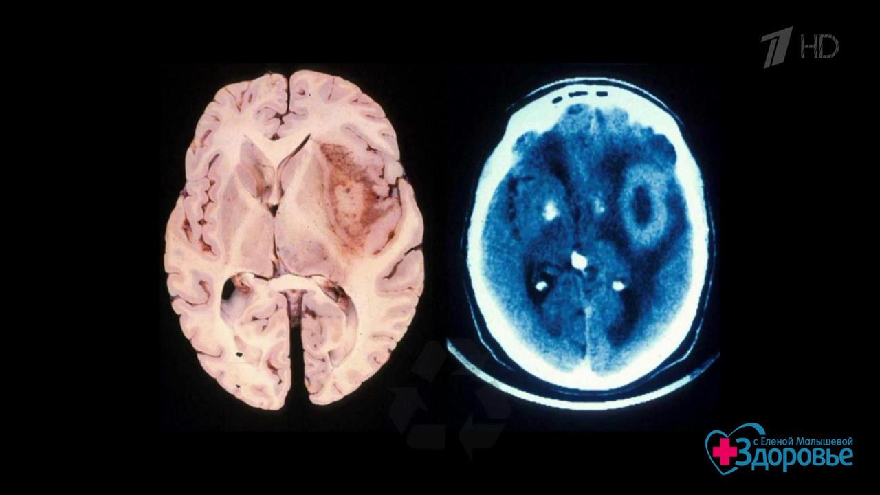
Недавно на совещании с президентом РФ директор Института молекулярной биологии им. В.А. Энгельгардта Александр Макаров рассказал об экспериментальной технологии уничтожения злокачественных опухолей с помощью вирусов. Открытие российских ученых дарит надежду сотням людей с раком, в том числе актрисе и телеведущей Анастасии Заворотнюк, у которой диагностировали глиобластому. Что это за технология? В студии – доктор биологических наук, профессор Института молекулярной биологии Петр Чумаков.
Недавно на совещании с президентом РФ директор Института молекулярной биологии им. В.А. Энгельгардта Александр Макаров рассказал об экспериментальной технологии уничтожения злокачественных опухолей с помощью вирусов. Открытие российских ученых дарит надежду сотням людей с раком, в том числе актрисе и телеведущей Анастасии Заворотнюк, у которой диагностировали глиобластому. Что это за технология? В студии – доктор биологических наук, профессор Института молекулярной биологии Петр Чумаков.
